patient’s smile

Smile Gallery

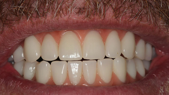
The Smile Gallery at North River Dental in Ellenton, FL showcases the transformative power of quality dental care. Our gallery features stunning before-and-after photos of patients who have experienced remarkable smile makeovers. From teeth whitening to complete smile restorations, our skilled team has crafted beautiful, confident smiles for our patients. Explore our gallery and discover how we can enhance your oral health and boost your self-esteem with our top-notch dental services in Ellenton.
Patient-Tested Excellence

The Proof Is In Our Patients

Hear Real Stories at North River Dental. Our video testimonials showcase the life-changing experiences our patients have had with our dental care. See their joy and confidence!
professional dentists YOU CAN TRUST

Meet Our Doctors

Introducing the dedicated team at North River Dental, a group of skilled and compassionate doctors committed to your oral health.
Smiles that last a lifetime

Smile Gallery

Our dental clinic serves all ages, from the youngest to the oldest members of your family, so you don’t have to drive around to separate appointments at pediatric dentists or orthodontists.

What Our Patient’s Have To Say

To give you a beautiful and functional smile, Value Implants and Dentures utilizes the latest dental implant procedures and technology.

I have been a patient for 13 years. The office staff is always pleasant. I have had experience with each of their dentist and would highly recommend any of them.

Peggy Sells

Rated 5 out of 5
February 28, 2026
I’m on a cross country road trip across the entire USA. Had an issue with a couple of crowns that came off while I’m 2500 miles from home. A good friend that lives in the area is a patient with North River Dental. I called and explained the situation to Shannon and she was able to get me an appointment for a repair and treatment plan with no significant delays in our travels. Thank you, thank you, thank you to “NRD” and team that helped me in a difficult situation indeed.

Gregory Beckelhymer

Rated 5 out of 5
February 26, 2026
This is a wonderful practice; I came here years ago and have just returned. The personable team members work together seamlessly and cheerfully with an ability to swap roles to different extents in order to efficiently support changing needs throughout the day. The technology leveraged is amazing – in very little time you can see complete images of your upper and lower jaw, teeth, bone and forecast for end results of select services. They provide orthodontic care and and multiple aesthetic services. PLUS! One of my favorite features is they still use rooms, rather than having multiple patients and services going on in an open area (as far as I saw). I really appreciate the enhanced privacy and welcoming decor.

Katherine Prentice

Rated 5 out of 5
February 19, 2026
I had an amazing experience at this dental office! From the moment I walked in, everyone was incredibly welcoming and friendly. The staff went out of their way to make me feel comfortable and answered all of my questions with patience and care. You can tell they genuinely care about their patients. The whole team was professional, helpful, and made the visit smooth and stress-free. I highly recommend this office to anyone looking for a great dentist!

THillForYou

Rated 5 out of 5
February 19, 2026
I have had good experiences at the dentist office from cleanings, a tooth pulled and an implant. When you have a problem with your teeth they get you in right away to start taking care of you. I recommend them highly.

Connie

Rated 5 out of 5
February 11, 2026
When we first moved to Florida in 2004 a friend told me to go to North River Dental. I have had a very good experience. I’m still under there care. I had bleeding gums at times. The dentist told me what to rinse my mouth with each night. I also use there toothpaste. My gums have gotten better. I have had a tooth pulled and an implant done and everything went smooth. They make you feel you like going to the dentist. I recommend them highly.

Connie Gualtieri

Rated 5 out of 5
February 11, 2026
The entire staff is extremely friendly and personable. They have helped put my mind at ease in my health journey while learning how to take care of myself. Thank you North River Dental!

Mary Alligood

Rated 5 out of 5
January 30, 2026
I have preferred North River Dental over other offices since I was in my late teens. I am now in my 40’s . Staff is wonderful and understanding. 10/10 recommend this office to anyone looking for a dental office. I drive all the way from Hardee county to go here.

Ashley Boyer

Rated 5 out of 5
January 23, 2026
Always a pleasant experience. Manuel is always courteous, professional and most importantly… gentle on my teeth. Highly recommend.

Cory Campoli

Rated 5 out of 5
January 13, 2026
This dental office is excellent. The doctors and hygienist are very professional, they are on time, on budget and the professionalism of everyone working there is excellent. I highly recommend them to anyone looking for a dentist or changing from one to another. I’ve been going to dentist for the past 70 years and this is number one in my book. Regards MHC.

Michael Cloutier

Rated 5 out of 5
January 7, 2026
What a fantastic and friendly staff at North River Denistry ♥️ We r seasonal travelers and wasn’t sure where to go for my tooth issue. So very thankful we chose North River Denistry. Such friendly, understanding and comforting staff. From the first phone call to exam and final procedure it was a outstanding experience. They even called me the day after procedure to see how I was doing. Made me feel special and cared for. Highly recommend this office🤩🤩

Penny Williams

Rated 5 out of 5
December 18, 2025
Moved to Parrish 6 years ago & wondered if I’d ever find a professional dentist that’s as good as the one I had in Connecticut. Well, lucky for me, my wife found North River Dental, and they’re outstanding from their doctors to their staff. Very professional, very thorough, very nice.

David Capoccitti

Rated 5 out of 5
December 18, 2025
EXPERIENCE EXCEPTIONAL DENTAL CARE

Come Visit Us

Experience Exceptional Dental Care at North River Dental in Ellenton, FL. Our skilled team offers top-notch services in a welcoming atmosphere. Schedule your visit today!

Get the Top-notch Dental Care Offered in Ellenton, Florida

If you are looking for a highly qualified and skilled dentist in Florida, your search ends here. Our dental practice provides top-notch care using the most up-to-date equipment and cutting-edge technology, all while adhering to rigorous sterilization standards.

Search Our Website

Search for services, dental procedures, and expert tips from our patient resources.

Popular searches: Dental Implants, Cleanings, Insurance.

Can Dental Implants Work for You?

Take this 60-seconds quiz to see if dental implants are right for you!

Discover your orthodontic options to see which is the best for you

Discover The Best Option To Get A Beautiful White Smile

Fill out this short assessment to discover the best option to get a beautiful white smile along with a free consultation!
Schedule Your Visit Today

Request an Appointment

Our dedicated team is here to provide you with personalized attention and exceptional care, tailored to meet your unique dental needs.